拡大鏡歯科

  1. TOP
  2. 拡大鏡歯科

Magnifying glass

拡大鏡歯科
について

  • 患者様全員に精度の高い治療を提供したい

    サージテルを使う理由は、視覚的に裸眼でみるよりも確実性をもつ為です。また、倍率についても、裸眼、2.5倍、3倍 、6倍とは、それぞれ違う世界ですから、それぞれの治療に見合った倍率で見ることが必要だと思います。それによって、精度の高い診断と、その歯の予後、寿命を左右する被せ物などの治療を行えます。

    患者様全員に精度の高い治療を提供したい
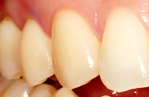
  • サージテルがもたらす“別世界”に何があるのか

    人間の裸眼での二点識別域は0.2mmが限界。では歯科治療においてはどこまで細かく見る必要があるのでしょうか? 例えばクラウンの適合性の場合、数十 μm程度の範囲であれば良好とされています。つまり現代の歯科治療においては、裸眼では必要とされているレベルを満たすことは難しいのです。

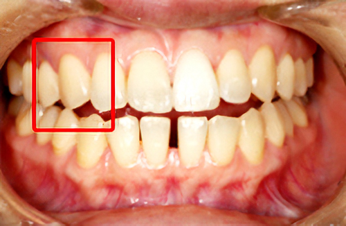
    それでは、サージテルを使った場合の視野を確認しましょう。画面から35cm離れて以下の写真をご覧下さい。35cmは実際にサージテルを使った場合の 平均的な作業距離です。

    裸眼ではよほど注意しないとわからないと思いますが、3倍のサージテルでも50μmまで楽に確認することができるため、破折線がはっきりと識別できます。2.5倍、3倍 、6倍になるとまるで別世界。今まで本当に「見えて」いたといえるのか、不安になってしまうほどです。初期段階の破折線が「見える」か「見えない」かで、言うまでもなく治療の精度が、いえ、治療そのものが変わってきます。

    『拡大鏡を使わないと見えないこの亀裂が患者様がしみるという原因だったのです』

    サージテルがもたらす“別世界”に何があるのか1
    裸眼
    サージテルがもたらす“別世界”に何があるのか2
    3倍
    サージテルがもたらす“別世界”に何があるのか3
    6倍