根管治療

  1. TOP
  2. 根管治療

Endodontic treatment

根管治療

  • 院長自費根管治療 当院(黒クリ)根管治療 一般的な歯科根管治療
    時間 1回60分 30分 15分
    治療回数 2~5回 5~12回 数か月かかることも
    ラバーダム 使用 使用 不使用
    ステンレスファイル 毎回新品使用 滅菌したもの 消毒や滅菌したもの
    ニッケルチタンファイル 使用 適時で使用 不使用
    マイクロスコープ 毎回使用 適時で使用 不使用
    歯の補強・仮歯 費用に含む 別途 なし
    レントゲン 費用に含む 適時で撮影し別途費用発生 最後に撮影
    CT 費用に含む 1回のみ適時で撮影し別途費用発生 設備無し
    成功率 90%以上 80%以上 30%以上
    費用 44,000~99,000円(税込み) 保険点数に準ずる+α 保険点数に準ずる

    歯の根の治療(根管治療)と手順

    細菌によって歯の根の中が汚染されてしまっている状況の治療です。細菌は顕微鏡を使っても目に見えないため、一度神経が死んでしまい感染した歯の根の細菌を全て取り除くことは不可能です。神経の治療の目的は、根管内にいる細菌を出来る限り取り除き、炎症をを抑え、再度細菌が増殖し得るスペースを無くすことです。

    • 検査・診断

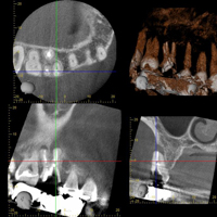
      レントゲン

      問診・視診・触診・打診・レントゲン検査(単純X線撮影、CT)・歯周ポケット検査などにより、歯を詳しく検査します。病気の原因を診断した上で治療方法を決定します。

    • 古い詰め物・被せ物・歯の土台の除去とむし歯の除去

      古い詰め物・被せ物・歯の土台等を取り除いた歯

      古い詰め物・被せ物・歯の土台等を取り除き、虫歯を除去したうえで、残る健康な歯を診断し、歯を残せるかどうか診査します。

    • 歯の補強

      壁と呼ばれる装置を歯に作製し、歯の補強をしながら根管治療が清潔・確実に出来る準備をします。

    • ゴムのマスク(ラバーダム)の使用

      レントゲン

      唾液の中の沢山の細菌が根管内に入らないように、また安全に治療を行うために、ゴムのマスクを治療する歯に設置します。根管治療を行う上で、治療の成否に大きく影響するとても大切な処置です。

    • 汚染箇所、細菌の機械的除去

      ニッケルチタン製のファイル(NiTiファイル)
      ニッケルチタン製のファイル(NiTiファイル)

      ニッケルチタン製のファイル(NiTiファイル)を使用し、電動で除去します。
      NiTiファイルは弾力性があるため、歯の根の湾曲に沿って削ることができるので、より精度の高い根管治療が可能です。

      歯の中の画像
      歯の中の画像

      歯の根にこびりついている古い充填物や細菌を機械的に除去していきます。顕微鏡を用いることで、複雑な根や見つけづらい細い根の見落としを大幅に減らすことが出来ます。

    • 消毒薬による根の洗浄・殺菌

      歯の中の画像
      歯の中の画像

      むし歯や細菌を機械的に取り除き、細かい場所は消毒薬で洗浄し、可能な限り細菌の数を減らします。

      歯の中の画像
      歯の中の画像

      さらに自費根管治療においては、スマートライト Pro エンドアクチベーターを用いて、約150倍のバクテリア除去力を発揮し、効果的な洗浄効果と半導体レーザーを用いての殺菌効果で、根の中の治療成功率をさらに高めることが期待できます。

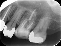
    • 根管充填

      レントゲン画像
      レントゲン画像

      可能な限り根の細菌を減らした後、根管充填材を根に緊密に充填し、細菌が増殖し得るスペースを無くします。

    • 土台を作り、再感染する隙間を無くします

      土台を作り、根の内部と外部を閉鎖し、しっかり接着させることで細菌の二次感染を防ぎます。

  • 価格表 価格は全て税込です

    根管治療 前歯(1~3) 44,000円
    小臼歯(4,5) 66,000円
    大臼歯(6,7) 99,000円
    時間 1回 60分
    治療回数 2~5回
    ラバーダム 使用
    ステンレスファイル 新品使用
    ニッケルチタンファイル 新品使用
    マイクロスコープ 毎回使用
    冠、土台の除去 費用に含む
    CT 費用に含む
    レントゲン 費用に含む
    成功率 90%以上

    自費根管治療では、アポイントは1時間づつで効率よく治療が進みます。

    被せものや土台などの除去、歯の仮補強、仮歯の費用も含み、使用する器具は、全て新品のファイル、ニッケルチタンロータリーファイル、マイクロ(顕微鏡)を使用し確実な診断と治療が行え治療回数も減ります。また、必用となるレントゲンやCT撮影費用は自費費用に含まれています。

    ファイルの破折や穿孔などが認められた場合は、オプション治療(別途費用)を追加する必要があります。 根管治療が不可能な場合は、抜歯での対応となる可能性があります。

    自費価格は、着手で半額のお支払、残り半分は根管治療完了時でお支払いとなり、途中の来院治療費用はかかりません。 ただし、根管の破折や大きく穴が空いていたりで歯内治療不可の場合の、ご負担いただいた金額の返金は不可となります。 また、 治療回数は、症状や根管数、症状により変動致します。