院長ブログ
救歯MTM 外傷 破折 歯が折れた 抜歯しない治療方法 矯正的挺出 引っ張り上げ
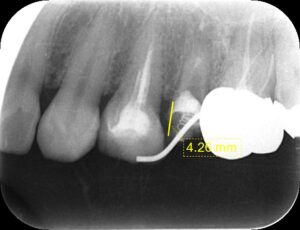
外傷といわれる転倒や衝突など。また、深い虫歯で歯が折れてしまい、歯肉から歯が見えない状態だと通常では抜歯となってしまいます。

その状態でも歯を残せる唯一の治療が救歯MTMです。 いわゆる歯根挺出やエクストルージョンといわれている治療方法です。
健康な歯質が骨内にあれば、それを矯正治療で引っ張り上げて、




健康な歯の部分を歯肉の上に引っ張り出して、その根の治療、土台を作り、硬いセラミックで歯を覆い、歯を温存する治療方法です。
全ての歯に適応できるわけでは無いですが、奥歯の大きい救歯には救歯セラミックといった、BTAテクニック®を応用した方法で歯を抜かずに温存する方法を適応できる場合があります。
救歯MTMは、黒クリでは2009年の開業以来行っている方法で、毎月新規に1,2名の患者さんが新たに救歯MTM治療を行っています。
救歯セラミックは、またブログ更新時にアップ致します。
News
-
医院からのお知らせ
-
院長ブログ: