院長ブログ
2011年1月29日
【黒田クリスタル歯科 吉祥寺】
黒田クリスタル歯科 審美治療 オールセラミック
最近は診療に集中しておりまして、ブログの更新が遅れていましたので、一つ症例をお見せrしたいと思います。
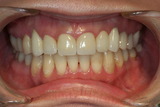
最初の写真は以前に他医院で審美治療として受けた治療ですが、歯茎がかなり下がってしまっていたのと、
被せ物との境に金属の黒さが目立つようになってしまったのが気になるとのことでした。 問題はそれだけではなく、被せ物の中に広がっていた虫歯が歯肉に中にある歯の根っこまで進んでいたので、通常ならば歯を抜いての治療になるところでした。 黒田クリスタル歯科 吉祥寺では、そのような場合、抜かずに部分的な矯正にて、歯の根を引っ張り上げ、歯肉の深い虫歯を歯肉上に出して被せ物が出来るようにします。 挺出やMTM,エクストルージョンと呼ばれる治療です。 その上で、歯茎が黒くならないように金属を使わない、オールセラミックスを被せます。 オールセラミックスは光が透るために歯肉も明るいピンク色になり綺麗です。
黒田クリスタル歯科 吉祥寺ではオールセラミックスだけでも、複数の種類から、硬さや、強さ透明感、色合い、など考慮して最適なマテリアル(材料)を選択して使用します。
News
-
医院からのお知らせ
-
院長ブログ: